Dirección
- Calle San Juan #13, Río Grande, Puerto Rico 00745
Teléfono
Horas de trabajo
Marcas
- • Se aceptan la mayoría de los Planes Médicos.
Productos o Servicios
-
• Personal profesional, trato personalizado, se citan pacientes por hora, sistema de record e imágenes digital.
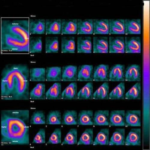
• Los pacientes que acuden a nuestras oficina recibirán servicios de medicina nuclear y/o cardiología.
Métodos de pago
Efectivo
La Medicina Nuclear es una especialidad de la medicina actual. En medicina nuclear se utilizan radiotrazadores o radiofármacos, que están formados por un fármaco transportador y un isótopo radiactivo. Estos radiofármacos se aplican dentro del organismo humano por diversas vías (la más utilizada es la vía intravenosa). Una vez que el radiofármaco está dentro del organismo, se distribuye por diversos órganos dependiendo del tipo de radiofármaco empleado. La distribución del radiofármaco es detectado por un aparato detector de radiación llamado gammacámara y almacenado digitalmente. Luego se procesa la información obteniendo imágenes de todo el cuerpo o del órgano en estudio. Estas imágenes, a diferencia de la mayoría de las obtenidas en radiología, son imágenes funcionales y moleculares, es decir, muestran como están funcionando los órganos y tejidos explorados o revelan alteraciones de los mismos a un nivel molecular.










